Ruken KADIOĞLU-Canberk ÖZTÜRK/ANKARA, – ANKARA’da kalp yetmezliği nedeniyle iki ameliyat geçiren, aynı anda skolyoz rahatsızlığı gelişen lise öğrencisi Eren Sayın (15), kan sulandırıcı ilaçları kesilmeden yapılan biri 8 saat, diğeri 6 saat süren iki seanslık skolyoz ameliyatı ile sağlığına kavuştu.
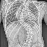
Lise öğrencisi Eren Sayın’ın, 4 yaşında kalp yetmezliği olduğu ortaya çıktı ve kalbindeki delik nedeniyle ilk ameliyatını oldu. 4 yaşında bu yana ilaç kullanan Eren, 1 yıl önce bu kez mitral kapak değişimi operasyonu geçirdi. Kalp rahatsızlığı ile birlikte skolyozu da bulunan Eren, ağrıları artından Ankara Etlik Şehir Hastanesi’ne başvurdu. Eren’in sırt bölgesinde 90, bel bölgesinde 70 dereceye ulaşan eğrilik tespit edildi. Eren, kalp kapağı ameliyatı nedeniyle kullandığı kan sulandırıcı ilaçlar kesilmeden biri 8 saat, diğeri 6 saat olmak üzere 2 seanslık riskli operasyonla skolyozdan kurtuldu. Eren, yüksek miktarda kan kaybı yaşamasına rağmen başarılı geçen operasyonun ardından sağlığına kavuştu.
‘O ACIYI ALLAH KİMSEYE VERMESİN’
10’uncu sınıf öğrencisi Eren Sayın, 4 yaşından bu yana ilaç kullandığını ve 2 operasyon geçirdiğini, ardından skolyoz ilerleyince 3’üncü ve en ağır ameliyatı olduğunu söyledi. Eren, “Günlük yaşamımda, otururken ya da ayaktayken belim çok fazla bir şekilde acıyordu. Acı çekerek okuluma gidiyordum 9’uncu sınıfta. Allah’tan okulda revir vardı. Orada yatıyordum. Tüm öğlenlerimde yatıyordum. Bütün öğlenim öyle geçiyordu. O acıyı Allah kimseye vermesin. Birkaç sene öncesinde fizik tedavi denedik, ama işe yaramadı. Bir de sert korse takmıştık onunla beraber. O da hiçbir işe yaramadı. Aksine kalbimi daha da yordu ve kalbimi daha da ilerletti. O mitral kapak yetmezliğini daha da fazla etkiledi. Ameliyat zor ve riskliydi. Yoğun bakım süreci fazla sıkıntılı geçmiş. Ama şimdi kendimi iyi hissediyorum. Ameliyat tamamlandığı için kurtuldum. Kan değerlerim de yavaş yavaş iyiye gidiyor. Hedefim artık hızlıca iyileşip, arkadaşlarımın yanına dönmek ve dersimin başına geçmek istiyorum” dedi.
‘KALP PROBLEMLERİ NEDENİYLE RİSKLİYDİ’
Ameliyatı gerçekleştiren Etlik Şehir Hastanesi Ortopedi ve Travmatoloji Uzmanı Doç. Dr. Vedat Biçici, Eren’in kalp rahatsızlığı nedeniyle skolyozunun son dönemde hızlı ilerlediğinin tespit edildiğini söyleyerek, “Kalpteki problemlerinden dolayı riskli bir hastaydı. İlk ameliyatında ciddi kanaması olmasından dolayı ilk ameliyatını birinci seans olarak tamamlayamadan bitirmek zorunda kaldık. İmplantlarını yerleştirip, ameliyatı sonlandırdık. Genel durumu toparladıktan sonra birkaç hafta geçip, değerleri de normal değerlere geldikten sonra ikinci seans olarak tekrar ameliyata aldık. İkinci seansta omurgadaki düzeltme işlemlerini tamamlayıp operasyonumuzu bitirdik” diye konuştu.
‘İKİ AŞAMADA OPERASYONU TAMAMLADIK’
Doç. Dr. Biçici, skolyoz cerrahisinin diğer cerrahilere göre daha riskli, daha zor olduğunu söyleyerek, “Çünkü omuriliğe çok yakın çalışmanız gerekiyor ve yerleştirdiğiniz implantlar yüzünden bazen milimetre düzeyinde yakın çalışıyorsunuz. Omurgayı düzeltirken omuriliğe hasar verme ya da omuriliğe bir problem oluşma ihtimali yüksek. Ondan dolayı riskli bir ameliyattır. Zaten cerrahi süresi uzun ve geniş bir alanda ameliyat yaptığınızdan dolayı bunlar hep riski artıran şeylerdir. Eren ayrıca kan sulandırıcı ilaç alıyor. Bunlar kesilemediğinden bu ilaçların etkisi altında ameliyata almak zorunda kaldık. Normalde bu ilaçlar ameliyat öncesinde kesilir, kanama riski azaltılır. Ama Eren’de bunu yapamadık. Bu da Eren’in ilk ameliyatta kan kaybını artırdı. İlk ameliyatta ciddi kan kaybı yaşadık, operasyonu yarıda bırakmak zorunda kaldık. Kan tablosu normal değerlere geldikten sonra ikinci seans ameliyata aldık. Onun için daha güvenli olacak şekilde iki aşamada ameliyatını tamamladık. Şu an durumu iyi. Fizik tedaviye başlayacak ve kademeli olarak normal hayatına dönecek” dedi.










